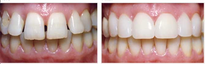
Orthodontic Treatment
Orthodontics is a dental specialty that treats dental and facial irregularities. Most of the orthodontic practices are limited to general orthodontics and dento-facial orthopedics. An orthodontist is responsible for beautifying the facial elements by harmonizing the teeth and the jaws.
Why do we need Braces?
Several reasons can lead to the misalignment of teeth which may further give rise to issues like speech defects, difficulty chewing and inability to maintain adequate oral hygiene.
Below are some of the most common issues an orthodontist is successfully capable of treating
Which cases can orthodontic treatment repair?





Types of braces
Lingual
They are placed on the inside or lingual surface of teeth so they are completely invisible from outside. It is preferred in adults, because maintaining hygiene would be slightly difficult as compared to children. And also it is preferred by people who need to be more presentable socially, like actors, models, public relations personnel etc.




