General Dentistry
Scaling
It includes removing of tartar and stains accumulated around the teeth gums, fine polishing of all teeth for maintaining a good oral hygiene. Patients must undergo this prophylactic treatment at least once in 6 months.
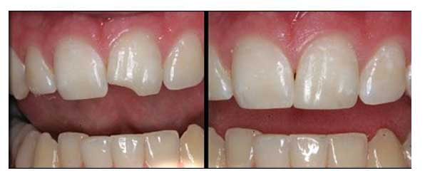
Tooth Filling
Advantages
- They closely match the natural tooth color
- They bond to the tooth structure chemically
- The bonding of filling, restores strength of broken tooth
- They can be used on front & back teeth
- If damaged, they can be repaired
Tooth Extraction
It is a minor oral surgical procedure of removing the tooth under LOCAL ANAESTHESIA.
We at Care 32, put maximum efforts in trying to salvage a tooth. But under certain circumstances such as a fractured tooth or an extensively decayed & damaged tooth, it becomes essential to extract them.
It is done in most gentle way, making sure that patient experience minimal or no discomfort.
Wisdom tooth surgery
Wisdom tooth is the third molar in your set of 32 permanent teeth. It usually erupts at the age period of 18-21 years of life.
If the wisdom tooth erupts in its normal position, without causing frequent pain & discomfort, it can be well preserved.
- They closely match the natural tooth color
- They bond to the tooth structure chemically
- The bonding of filling, restores strength of broken tooth
- They can be used on front & back teeth
- If damaged, they can be repaired
Indication of removing a wisdom tooth
Sometimes a wisdom tooth may erupt in a wrong pattern. It may be horizontal or trying to erupt along the check side. This causes frequent episode of pain & swelling in the cheek & in and around the gums.
Also due to its late eruption time, sometimes there is lack of space to accommodate this last tooth. As a result the tooth remains IMPACTED in the bone, to causing pressure on the adjacent teeth. It may also lead to problems of food lodgment around the gums covering it, leading to frequent infection & pus formation in that area.
For all the above causes, it is essential to extract the tooth by surgical methods.
Denture
It is an artificial replacement of missing teeth. It can be used to replaced few or all missing teeth in mouth.
Dentures can be of different types
- Partial denture
- Complete denture
- Cast partial denture
Partial denture
They are used to replace single or few missing teeth.
It's grip can be enhanced by using clasps, which use adjacent natural teeth for more support.
Complete denture
They are used to replace all missing teeth in an edentulous patient.
They can be made of various materials.
Cast partial denture
It is an acrylic denture made on the support of the metal framework. Each framework is custom made for every patient. As a result, it ensures excellent fit. Due to the metal present, it conducts sensations of hot & cold in the mouth, hence giving more natural satisfaction of having food.
