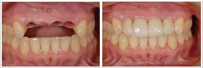
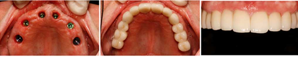
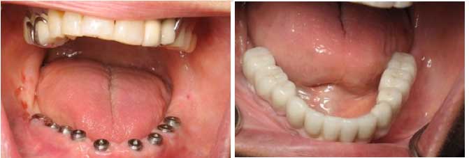
Dental Implants
They are used to replace missing tooth or teeth in the patients jawbone.
It involves a minor surgical procedure wherein an aperture is made in the jaw bone and an implant is positioned in it. The implant eventually attaches to the bone and acts as a new 'root' for the crown that will be replacing the missing tooth.
Advantages
- Dental implants do not require the adjacent teeth for the support like the bridges. Thus it prevents damage to the adjacent teeth.
- They restore the ability to bite and chew food like natural teeth.
- They are aesthetic and improve the smile and appearances of the patient without any discomfort.
- They preserve the bone in and around the area where placed.
- They are one of the most long lasting tooth replacement options.




